During a game, a defender sustained an injury to his right shoulder, resulting in an AC joint dislocation Grade of injury 3 to 4. Several orthopedic surgeons recommended surgery followed by a 3 to 4-month rehabilitation plan. However, the player was offered an alternative regenerative treatment, which was expected to restore him to full activity within one month. The player opted for regenerative treatment over surgery.
Following the initial injury, the player received daily treatments for the first seven days, which included prolotherapy combined with joint blood aspiration, as well as physical and magnet therapy. From the beginning, the player was encouraged to use his arm as much as possible, though without bearing weight, with a focus on gradually increasing his range of motion (ROM).
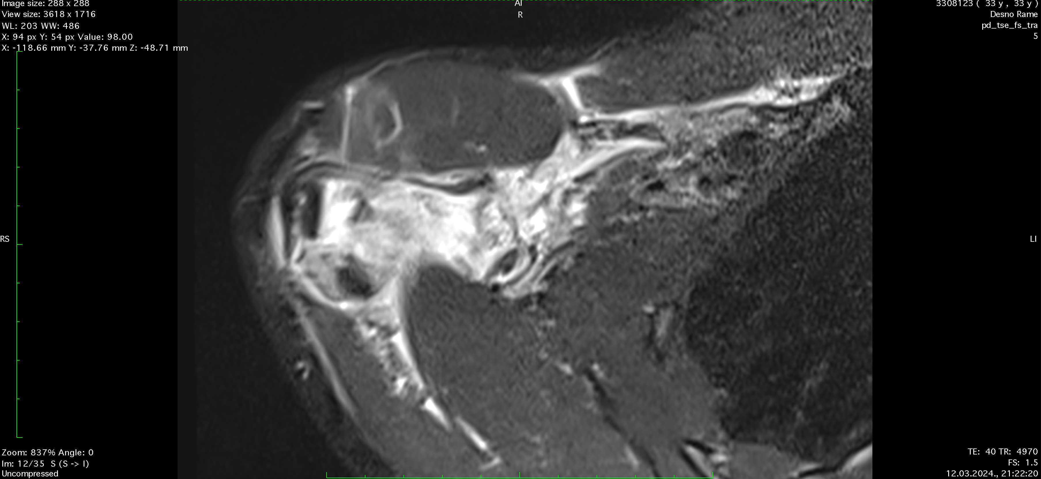
Ten days after the injury, the player's pain level had decreased to 3 out of 10, and nearly full ROM had been regained. A follow-up MRI showed significant recovery, with the AC joint fully reconnected and healed ligaments, though there was some residual edema caused by inflammation from the prolotherapy. Treatment continued for another week, during which the player engaged in more active exercises, including mobility, weight-bearing, and rotator cuff strengthening. While fast movements initially caused stiffness, this resolved within 3 to 4 days.
After three weeks, the player returned to full team training, experiencing no pain, discomfort, or instability. Four weeks after the initial injury, the player played a full 90-minute match.
Complete therapy list is provided. All treatments are entirely free from doping substances and corticosteroids, fully compliant with the WADA 2024 Anti-Doping Guidelines.
Reconnection of coracoclavicular ligament, soft tissue, trapezius m., regeneration, formation of AC joint capsule visible after only 8 days of therapy.
